矯正歯科・インプラント専門のささき歯科クリニック‐盛岡・花巻・紫波

矯正歯科・インプラント専門のささき歯科クリニック‐盛岡・花巻・紫波

口腔外科

口腔癌

矯正歯科・インプラント専門のささき歯科クリニック‐盛岡
口腔癌
初診時から口腔癌を疑い、病理診断で悪性と診断されました。

白板症

矯正歯科・インプラント専門のささき歯科クリニック‐盛岡
白板症
粘膜病変のひとつで接触痛を伴うことが多いです。難治性のこともあります。

のう胞摘出

矯正歯科・インプラント専門のささき歯科クリニック‐盛岡
左上前歯2番
根尖部の腫れをくりかえしていました。
矯正歯科・インプラント専門のささき歯科クリニック‐盛岡
切開と術野の明示
セラミッククラウンが入っていたので切開線はpalchの弧状切開にしました。

矯正歯科・インプラント専門のささき歯科クリニック‐盛岡
摘出後
のう胞を摘出して健全な骨面を出します。手術後もセラミッククラウンの歯頸ラインが下がらず審美的にも良好です。
矯正歯科・インプラント専門のささき歯科クリニック‐盛岡
摘出物
のう胞壁

歯牙移植

18歳女性で右下6番と左下6番はすでに欠損、右下7番と左下7番もホープレスで移植かインプラントしかありません。

矯正歯科・インプラント専門のささき歯科クリニック‐盛岡
左上完全埋伏智歯
移植歯は歯ぐきの中にあってまだはえていません。
矯正歯科・インプラント専門のささき歯科クリニック‐盛岡
移植部位左下7番
移植部位の左下7番は残根状態で根の治療ができず抜歯しかありません。

矯正歯科・インプラント専門のささき歯科クリニック‐盛岡
術前写真
もし移植しないと左下6・7番奥歯が2本なくなってしまいます。
矯正歯科・インプラント専門のささき歯科クリニック‐盛岡
術後口腔内写真1
左下7番抜歯後の移植床と左上8番の移植歯はギャップができることがあります。

矯正歯科・インプラント専門のささき歯科クリニック‐盛岡
縫合と固定
移植歯を移植床にしっかりと固定します。
矯正歯科・インプラント専門のささき歯科クリニック‐盛岡
左下7番抜去歯と左上8番埋伏智歯
移植は同日に行います。

矯正歯科・インプラント専門のささき歯科クリニック‐盛岡
術前レントゲン写真
右下6番左下6番欠損で右下7番左下7番がホープレスです。
矯正歯科・インプラント専門のささき歯科クリニック‐盛岡
術後レントゲン写真
右下7番左下7番を抜歯して右上8番左上8番を移植しました。3〜4ヶ月でしっかりと固まります。

小帯切除

矯正歯科・インプラント専門のささき歯科クリニック‐盛岡
術前口腔内写真
上唇の小帯(ヒダ)が長すぎて正中離開になっています。
矯正歯科・インプラント専門のささき歯科クリニック‐盛岡
術後口腔内写真
レーザーで小帯切除しました。麻酔をしているので痛くありません。施術時間2分。

矯正歯科・インプラント専門のささき歯科クリニック‐盛岡
1週間後
小帯がきれいに伸ばされました。あと1〜2週間でまわりの歯ぐきと同じになります。

難抜歯

矯正歯科・インプラント専門のささき歯科クリニック‐盛岡
術前レントゲン写真
右下親しらずがはれて、痛むとの事です。
矯正歯科・インプラント専門のささき歯科クリニック‐盛岡
解剖学形態の分析
親しらずが横になって完全にはえていません。根の先端が下顎管にくっついているように見えます。

矯正歯科・インプラント専門のささき歯科クリニック‐盛岡
隣接歯牙のう蝕
親しらずの手前の歯もむし歯になっているようです。
矯正歯科・インプラント専門のささき歯科クリニック‐盛岡
抜去歯
抜いてみると、歯根の先端が直角に曲がっていました。平面のレントゲンではわからないので術前にCT撮影が有効です。

粘液のう胞

矯正歯科・インプラント専門のささき歯科クリニック‐盛岡
口唇粘液のう胞
唾液のような内容物をともなう膿のふくろです。麻酔をして摘出します。
矯正歯科・インプラント専門のささき歯科クリニック‐盛岡
口唇粘液のう胞
くちびるが隆起しているので間違って咬んだりすることがあります。

歯周外科

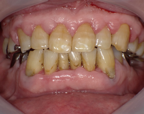
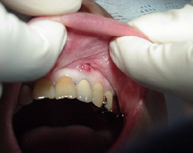
症例1

矯正歯科・インプラント専門のささき歯科クリニック‐盛岡
初期治療後
歯石取りをした後も歯周ポケットが4〜6ミリあります。降圧剤を内服しています。
矯正歯科・インプラント専門のささき歯科クリニック‐盛岡
手術中
歯茎を切開して根の周りに付いていた歯石(歯肉縁下歯石)を全部取りました。

矯正歯科・インプラント専門のささき歯科クリニック‐盛岡
外科手術後
歯周ポケットが2ミリに改善して歯茎がピンク色になりました。

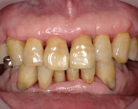
症例2

矯正歯科・インプラント専門のささき歯科クリニック‐盛岡
手術前
上下の歯茎が腫れて排膿します。歯磨きするとすぐ出血します。
矯正歯科・インプラント専門のささき歯科クリニック‐盛岡
手術後
上下とも手術しました。もう膿も出ないし出血もしません。

※ このページに掲載してある全ての治療は、個々の患者様の状態等により当然に治療結果は異なりますので、参考程度にお考えください。


矯正歯科・インプラント専門のささき歯科クリニック‐盛岡・花巻・紫波/トップページ 矯正歯科・インプラント専門のささき歯科クリニック‐盛岡・花巻・紫波/お知らせ 矯正歯科・インプラント専門のささき歯科クリニック‐盛岡・花巻・紫波/クリニック紹介 矯正歯科・インプラント専門のささき歯科クリニック‐盛岡・花巻・紫波/インプラント 矯正歯科・インプラント専門のささき歯科クリニック‐盛岡・花巻・紫波/口腔外科 矯正歯科・インプラント専門のささき歯科クリニック‐盛岡・花巻・紫波/矯正歯科 矯正歯科・インプラント専門のささき歯科クリニック‐盛岡・花巻・紫波/美容診療 矯正歯科・インプラント専門のささき歯科クリニック‐盛岡・花巻・紫波/院内設備 矯正歯科・インプラント専門のささき歯科クリニック‐盛岡・花巻・紫波/治療費用 矯正歯科・インプラント専門のささき歯科クリニック‐盛岡・花巻・紫波/交通案内 矯正歯科・インプラント専門のささき歯科クリニック‐盛岡・花巻・紫波/求人情報 矯正歯科・インプラント専門のささき歯科クリニック‐盛岡・花巻・紫波/自費治療ネット予約 矯正歯科・インプラント専門のささき歯科クリニック‐盛岡・花巻・紫波/保険治療ネット予約