矯正歯科・インプラント専門のささき歯科クリニック‐盛岡・花巻・紫波

矯正歯科・インプラント専門のささき歯科クリニック‐盛岡・花巻・紫波"

美容診療

歯肉メラニン沈着

矯正歯科・インプラント専門のささき歯科クリニック‐盛岡
術前写真
歯ぐきにメラニンが濃く沈着して、歯ぐきが黒っぽく見えます。
矯正歯科・インプラント専門のささき歯科クリニック‐盛岡
術後写真
薬液を使ってメラニンだけを取り除きます。きれいな歯ぐきになりました。

審美インプラント

矯正歯科・インプラント専門のささき歯科クリニック‐盛岡
術前口腔内写真1
左上前歯2番の歯根破折で歯茎も腫れ出血も。
矯正歯科・インプラント専門のささき歯科クリニック‐盛岡
術前口腔内写真2
根が割れているのでグラグラ動きます。根が割れた歯は抜くしかありません。

矯正歯科・インプラント専門のささき歯科クリニック‐盛岡
術後口腔内写真1
左上前歯2番の破折根を抜歯してインプラントを埋めました。
矯正歯科・インプラント専門のささき歯科クリニック‐盛岡
拡大写真
アクセスホールを舌側真ん中にくるようにドリリングして、メインテナンスをしやすくします。

矯正歯科・インプラント専門のささき歯科クリニック‐盛岡
術後写真
左上前歯2番歯頸のラインを下げずにスクリュー固定できました。

ホワイトニング症例1

矯正歯科・インプラント専門のささき歯科クリニック‐盛岡
術前口腔内写真1
前歯の色が気になるとのことでした。
矯正歯科・インプラント専門のささき歯科クリニック‐盛岡
術前口腔内写真2
口唇は遠慮がちに開けるクセがあります。

矯正歯科・インプラント専門のささき歯科クリニック‐盛岡
術中口腔内写真1
矯正歯科・インプラント専門のささき歯科クリニック‐盛岡
術中口腔内写真2
ラバーダムをして薬液が歯肉につかないようにしっかりガードします。

矯正歯科・インプラント専門のささき歯科クリニック‐盛岡
術後口腔内写真1
明らかに明度が上がりました。
矯正歯科・インプラント専門のささき歯科クリニック‐盛岡
術後口腔内写真2
スマイルラインが自然になりました。
    

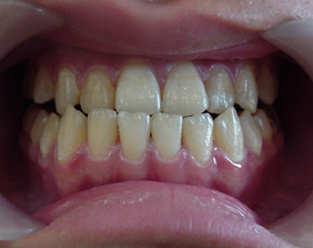
ホワイトニング症例2

矯正歯科・インプラント専門のささき歯科クリニック‐盛岡
術前口腔内写真1
上下の歯の色が気になるとのことです。
矯正歯科・インプラント専門のささき歯科クリニック‐盛岡
術前口腔内写真2
シェードはA3.5です。

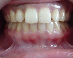
矯正歯科・インプラント専門のささき歯科クリニック‐盛岡
術後口腔内写真1
オフィスブリーチ2回目です。
矯正歯科・インプラント専門のささき歯科クリニック‐盛岡
術後口腔内写真2
シェードはA3.5からA1まで上がりました。
    

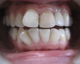
ホワイトニング症例3

矯正歯科・インプラント専門のささき歯科クリニック‐盛岡
術前口腔内写真
術前のシェードはD3です。
矯正歯科・インプラント専門のささき歯科クリニック‐盛岡
術後口腔内写真
術後はC2まで上がりました。

ホワイトニング症例4

矯正歯科・インプラント専門のささき歯科クリニック‐盛岡
術前口腔内写真1
上下の歯の色が気になる。
矯正歯科・インプラント専門のささき歯科クリニック‐盛岡
術前口腔内写真2
術前はA3〜A4です。

矯正歯科・インプラント専門のささき歯科クリニック‐盛岡
術後口腔内写真1
術後は上下ともA2〜C2程度まで白くなりました。
矯正歯科・インプラント専門のささき歯科クリニック‐盛岡
術後口腔内写真2

※ このページに掲載してある全ての治療は、個々の患者様の状態等により当然に治療結果は異なりますので、参考程度にお考えください。

矯正歯科・インプラント専門のささき歯科クリニック‐盛岡・花巻・紫波/トップページ 矯正歯科・インプラント専門のささき歯科クリニック‐盛岡・花巻・紫波/お知らせ 矯正歯科・インプラント専門のささき歯科クリニック‐盛岡・花巻・紫波/クリニック紹介 矯正歯科・インプラント専門のささき歯科クリニック‐盛岡・花巻・紫波/インプラント 矯正歯科・インプラント専門のささき歯科クリニック‐盛岡・花巻・紫波/口腔外科 矯正歯科・インプラント専門のささき歯科クリニック‐盛岡・花巻・紫波/矯正歯科 矯正歯科・インプラント専門のささき歯科クリニック‐盛岡・花巻・紫波/美容診療 矯正歯科・インプラント専門のささき歯科クリニック‐盛岡・花巻・紫波/院内設備 矯正歯科・インプラント専門のささき歯科クリニック‐盛岡・花巻・紫波/治療費用 矯正歯科・インプラント専門のささき歯科クリニック‐盛岡・花巻・紫波/交通案内 矯正歯科・インプラント専門のささき歯科クリニック‐盛岡・花巻・紫波/求人情報 矯正歯科・インプラント専門のささき歯科クリニック‐盛岡・花巻・紫波/自費治療ネット予約 矯正歯科・インプラント専門のささき歯科クリニック‐盛岡・花巻・紫波/保険治療ネット予約